Ce este proteza dentară fixă?
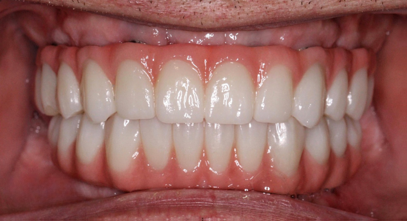
Proteza dentară fixă este o soluție modernă și eficientă pentru pacienții care doresc refacerea întregii danturi de pe o arcadă sau de pe ambele maxilare.
Aceasta implică utilizarea implanturilor dentare ca suport pentru o lucrare protetică FIXĂ, eliminând necesitatea protezelor mobile.




Ce este proteza fixă cu 4 implanturi?
Proteza fixă cu 4 implanturi, cunoscută și sub denumirea de All-on-4, este o tehnică inovatoare ce permite reabilitarea completă a unei arcade dentare folosind doar patru implanturi dentare. Aceste implanturi sunt plasate strategic pentru a oferi suport maxim lucrării fixe, eliminând necesitatea grefelor osoase în majoritatea cazurilor.
Această soluție este ideală pentru pacienții care au pierdut toți dinții de pe o arcadă și doresc o dantură fixă într-un timp scurt.
Ce este proteza fixă cu 6 implanturi?
Proteza fixă cu 6 implanturi, sau All-on-6, oferă un suport suplimentar și o distribuție mai uniformă a presiunii pe arcadă.
Folosirea a șase implanturi dentare asigură o stabilitate crescută și este recomandată în special la nivelul arcadei dentare maxilare (partea de sus).


Pentru cine este proteza fixă pe implanturi?
Proteza dentară fixă este recomandată persoanelor care au pierdut toți dinții de pe o arcadă sau care se confruntă cu probleme grave dentare ce necesită extracția completă a dinților. Este o soluție ideală pentru pacienții care:


Își doresc o alternativă la protezele mobile.


Au dantura distrusă de caria dentară și vor o soluție rapidă pentru înlocuirea danturii cu una nouă.


Au lucrări vechi care se mișcă și oferă un disconfort în masticație și vorbire.


Suferă de parodontoză, iar tratamentele conservative sunt depășite.
Cum se simt pacienții după tratamentul cu proteza fixă pe implant?
Avantajele protezei fixe pe implanturi dentare
NU se mișcă și nici NU cad atunci când vorbești sau mănânci.
Stabilitate și confort
Proteza fixă nu se mișcă și nu cade, oferind o senzație similară cu cea a dinților naturali.
Estetică superioară
Redă aspectul natural al dinților, îmbunătățind zâmbetul și trăsăturile faciale.
Funcționalitate eficientă
Permite o masticație normală și o vorbire clară, fără disconfort.
Durabilitate
Soluție pe termen lung, cu îngrijire corespunzătoare poate dura zeci de ani.
Fără adezivi
Nu necesită utilizarea adezivilor sau a altor soluții temporare.
Îmbunătățirea calității vieții
Oferă libertatea de a mânca, vorbi și zâmbi fără griji.
Etapele de tratament proteza fixă pe implanturi dentare
Tratamentul cu dantură fixă în 24 de ore presupune 7 pași esențiali, fiecare având un rol fundamental în restaurarea completă a danturii pacientului.


1. Consultația initială
Aici vom face o consultație detaliată endo si exo-orală, vom realiza fotografii, si vom analiza istoricul pacientului pentru a detecta anumite probleme de sănatate si/sau tratament cu anumit medicament care ar putea influența tratamentul nostru. De asemeanea se vor cere anumite analize dacă este necesar.


2. Computer-tomografia 3D
Constă în realizarea unei radiografii 3D (CBCT) pentru o analiză detaliată a volumului osos si densității osoase. Tot această metodă ne permite sa planificăm digital planul de tratament, adica să pozitionăm in puncte strategice a implanturilor.


3. Intervenția chirurgicală
Aceasta este etapa în care inserăm implanturile dentare. Procedura durează, în general, între 2 și 3 ore pe arcadă, în funcție de numărul de implanturi necesare și complexitatea cazului. Dacă se dorește reconstrucția ambelor arcade, de regulă, intervențiile se desfășoară în zile diferite pentru a asigura o recuperare eficientă.


4. Aplicarea lucrărilor provizorii
În majoritatea cazurilor, la 24-48 de ore lucrătoare după intervenție, pacientului i se fixează lucrările dentare provizorii. Tot aici vom ajusta lucrarea pentru a asigura o muscatura(ocluzie) corecta.


5. Controale post-operatorii
Se efectuează controale periodice in primele 3 luni după operație, acestea având un rol crucial în monitorizarea procesului de vindecare și succesul tratamentului pe termen lung. Aceste verificări sunt gratuite și includ evaluarea sănătății orale și identificarea eventualelor necesități suplimentare


6. Lucrarea finală definitivă
După aproximativ 6 luni de la inserarea implanturilor, se realizează lucrarea definitivă.
Această etapă durează între 2 si 3 săptămâni și include toate probele necesare pentru a obține o lucrare perfect funcțională și estetică. Dinții finali sunt proiectați cu atenție pentru a se asigura o masticație corectă, o pronunție precisă și o estetică impecabilă.


7. Controale periodice și igienizare profesională
După montarea lucrării definitive, pacientul va reveni la control la fiecare 6 luni. Aceste vizite includ igienizarea profesională a lucrării și evaluarea sănătății gingiilor și a țesuturilor moi, pentru a menține sănătatea orală și pentru a prelungi durata de viață a implanturilor.
Etape, prețuri și alte informații despre proteza fixă pe implanturi
Cât costă proteza fixă pe implanturi?


Pentru varianta cu 4 implanturi
2600 euro (preț și în lei)
Oferta include extracții, implanturi, mici adiții și lucrarea provizorie fixă.


Pentru varianta cu 6 implanturi
3400 euro (preț și în lei)
Oferta include extracții, implanturi, mici adiții și lucrarea provizorie fixă.
Plătește în rate!
Știm că astfel de tratamente nu sunt ieftine, de aceea, în clinica noastră, puteți beneficia de plata în rate prin parteneriatele pe care le avem!
În cei 10 ani de când sunt medic, investiția în perfecționarea mea a fost constantă, atât prin prisma rezidențiatului în chirurgia maxilo-facială, dar și prin cursurile din țară și din străinătate la care am participat de-a lungul timpului.




Magearu Laurentiu
In luna 11.2022 am avut o interventie foarte grea, inlocuire maxilar cu proteza de titan comandata din portugalia. D-l doctor Rares Cardas a avut grija mea inca de la internare. Dansul este persoana care a reusit sa-mi alunge frica pe care am avut-o. Pe langa actul medical ireprosabil am apreciat foarte mult si calitatea umana exceptionala. Inainte cu o zi de operatie a observat ca mi-e frica si nu imi pot depasi emotiile, atunci a venit la mine m-a luat in brate si mi-a spus ca o sa aiba grija de mine si ca totul sa fie ok, si sa nu-mi fac griji pentru ca sunt pe maini bune. Recunosc ca am ales Cluj pentru faptul ca doctorii sunt mult mai umani decat in Bucuresti. Daca cineva are o problema recomand din toata inima sa mearga la Clinica din Cluj.


Stefan Hideg
La inceputul anului 2023 am apelat la servicile dumneavoastra pentru o reabilitare completa a danturii pe implanturi denture, mi-au fost inserate 6 implanturi la maxilar si 4 implanturi la mandibula . Sunt foarte multumit de serivcile prestate . Il recomand cu mare drag .


Robert Rusu
Am apelat de două ori la serviciile domnului Dr.Rareș Cardaș pentru inserarea mai multor implanturi dentare. Ambele intervenții chirurgicale au decurs fără durere, fiind realizate în mod profesionist,cu rezultate excelente și recuperare rapidă.Un om deosebit,recomand cu încredere!


Bartha Eniko
Dl dr Cardaș mi-a efectuat o adiție osoasă extinsă și în aceeași ședință mi-a inserat 3 implanturi.
Sunt foarte mulțumită deoarece intervenția a fost fără durere și nici postoperator nu am avut dureri mai mult de atât umflatura a fost foarte mică.Recomand cu încredere pe dl Dr Cardaș atât pentru profesionalism cât și pentru mâna ușoară pe care o are.


Cristian Pasarea
O experiență plăcută (chiar dacă mulți vor spune că la stomatologie nu este plăcut) avută în urma intervenției de echipa dr. Rareș Cardaș.
Sunt din Alba Iulia iar sediul este în Cluj Napoca. Însă, după analizarea situației, am primit oferta, am acceptat și într-o săptămână a avut loc intervenția la Alba Iulia.
Au avut loc 5 extracții și 6 implanturi, în aproximativ două ore și jumătate. Fără dureri sau alte erori în execuție. Totul foarte curat și în siguranță. Rareș și echipa lui sunt foarte dedicați activităților astfel încât sănătatea și siguranța pacientului să fie primordială.
Apoi, încă o oră în pregătirea și efectuarea mulajului pentru lucrarea provizorie. După două zile am primit și lucrarea provizorie. Acum aștept vindecarea lucrării și montarea lucrării definitive.
Respect dr. Rareș Cardaș și echipei lui.
Recomand cu încredere folosirea serviciilor


Cristian Camarasan
Am facut un implant cu adictie de os sunt multumit de rezultat si voi reveni daca voi avea nevoie de alte interventii .


Adi Veres
Am apelat la domnul Rareș pentru 6 implanturi, iar rezultatul a fost excelent.Un adevărat profesionist, recomand cu încredere!


Elisabeta Necsa
Am avut o experiență excelentă la cabinetul domnului Dr. Rares Cardas! Personalul a fost foarte prietenos și profesionist, iar domnul Dr Cardas, a fost atent la nevoile mele și a explicat totul în detaliu, procedura de implant dentar a fost fără durere. Recomand cu încredere tuturor celor în căutare de servicii stomatologice de înaltă calitate!


Stefan-Razvan Cioanca
Excelente servicii! O sa revin cu siguranta!


Silvia Magearu
Vreau sa-i mulțumesc d-nului Doctor Cardas pentru toată grija purtata soțului meu. Face parte dintr-o echipa dedicata de profesioniști.
Va mulțumim și va respectam 🙏


Razvan Chiorean
Experienta si seriozitatea domnului Dr. Rares Cardas si-au pus amprenta, in decizia de a apela de fiecare data cu incredere la serviciile medicale oferite. Recomand!


Adriana
Fiecare vizită la domnul doctor e super, îl recomand cu drag pentru răbdarea și profesionalismul de care dă dovadă.


Adi Chezy
Mulțumesc mult domnului Dr. Rareș Cardaș. Un adevărat profesionist.Îl recomand cu mare încredere.


Elena Ciornea
Cel mai bun medic!!! Recomand cu mare încredere!


Livuu Avram
Din pură întâmplare pentru o mică intervenție stomatologica am dat peste dnul dr. Cardaș și am rămas extrem de satisfăcut de rezultatele muncii lui. E medicul la care ar dori orice pacient să ajungă, modest, profesionist adevărat și binevoitor să răspundă la orice întrebare ai avea. Recomand cu încredere Dr. Cardas Rares.
Întrebări frecvente
Minim 4 implanturi sunt necesare pentru a putea reface întreaga dantură de pe o arcadă cu ajutorul implanturilor dentare. În general, sunt inserate 4 implanturi la mandibulă (partea de jos) și 6 implanturi la maxilar (partea de sus).
Procedura este de obicei realizată sub anestezie locală, reducând disconfortul. Pacienții pot resimți ușoare senzații de presiune, dar durerea este gestionabilă și poate fi controlată cu analgezice după procedură. În cazuri mai complexe, se poate recurge și la anestezia locală asociată cu sedare intravenoasă conștientă în colaborare cu medicul anestezist.
În general, aproximativ 2-3 ore per arcadă, în funcție de complexitatea cazului. După intervenția chirurgicală, pacientul este pregătit pentru amprentă pentru lucrarea provizorie.

